什麼是大腸鏡?
大腸鏡是一條黑色管子,由肛門進入依著大腸的走向,由下而上檢查:肛門→直腸→乙狀結腸→降結腸→橫結腸→升結腸。可以觀察整個大腸的任何病變,如:潰瘍、發炎、息肉、腫瘤及出血源,以進一步治療處置,如:息肉切除、切片、電燒止血等。
誰需要做大腸鏡?
具以下情況可接受大腸鏡檢查:
絕大部分的大腸息肉甚至是非常早期的大腸癌是可以用大腸鏡切除的,並不需要開刀。再將病灶送病理科切片檢查,將切片染色來判定是否為大腸癌,但大約都會需要2-3週的時間。大腸鏡檢查是動態的過程,在內視鏡於大腸內不斷往前推進的同時,有些息肉並不明顯,醫師是否能辨別每一個腸壁黏膜上的病灶,非常倚賴大腸鏡操作經驗和技術。
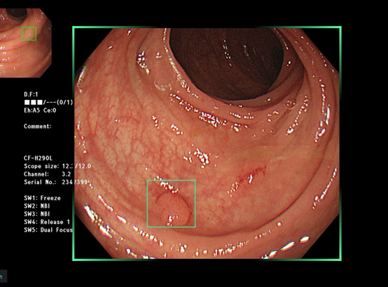
大腸鏡近年來整併了AI圖像辨識技術,可以第一時間透過電腦判讀,知道大腸癌的風險高低,大幅增加了大腸癌檢查的效率以及準確性。國外研究顯示施行大腸鏡時的腺瘤偵測率每提升1%,將可以降低鏡檢後發生大腸癌風險3% 之多,死亡率甚至可以降低5%。2022年國外研究顯示,藉AI人機協作進行大腸鏡檢查,約可提高14% ~ 30% 的腺瘤偵測率不等。
除了癌症判定,經由特殊光譜NBI、BLI以及放大效果,也可協助醫師立即 診斷瘜肉的好壞。簡單來說,就是讓 內視鏡 的訊號經過AI BOX即時處理,就能即時顯示於螢幕上,類似於醫師的第三隻眼睛,幫助揪出不易用肉眼檢視到的瘜肉。
術前
- 早晨降血壓藥物,於檢查當日早上7點前服用。
- 降血糖藥物,檢查當日請勿服用。
- 抗凝血劑或是抗血小板藥物,需要先和醫師討論是否停藥。
檢查前三天開始,三餐採低渣飲食。檢查前一天,需飲用瀉劑清腸,並禁食直到檢查結束。
通常在大腸鏡檢查前三天,需要開始吃低渣飲食(low residue diet),其目的在於降低粗纖維的攝取量(每日低於 4 公克以下),減少食物經過消化、吸收和發酵後,在腸道中留下的殘渣,以降低糞便體積,讓腸胃道獲得充分的休息並淨空腸道,使檢查結果更加準確。
低渣飲食四原則
- 選擇易消化的精緻食物,避免油膩、刺激性、高纖、易產氣的食物。
- 採用讓食物質地變軟的烹調方式,如水煮、清蒸,避免油炸、油煎。
- 避免乳製品,奶類消化後易在腸道留下殘渣。
- 增加水分攝取,防止因纖維攝取不足而便秘。
手指、腳趾的甲床是監測血氧的部位之一,若施作光療指甲會影響監測功能,因此必須卸除。
術中
通常檢查時間只需10-15分鐘,但仍需依當下檢查者實際狀況而論,可能延長或縮短時間。
目前舒眠大腸鏡所使用的麻醉藥皆是衛福部核可高度安全性的麻醉用藥,鮮少有副作用。
術後
檢查後,若無頭暈、嘔吐情形,且試喝開水後無不適, 則可以正常進食。
原則上當天就可知道結果,但如果有做病理切片檢查,切片報告需要一週後。
檢查時,醫師會打氣擴張腸道,以利檢查,因而可能產生脹氣
- 醫師於做完檢查時,會盡量將腸道所灌入之空氣抽空,以降低不適感。
- 若仍腹脹,3天內避免進食豆類、奶類製品等食物,建議多走動或順時針按摩腹部並塗抹消脹氣藥物,如薄荷油、萬金油等, 有助消肚脹與排氣。
依檢查結果而定,若有大顆息肉或發炎性腸道疾病,請每年定期追蹤。若檢查結果正常,沒有發現息肉等異常情形,無需每年做 ,約3-5年做一次即可。但若第一次大腸鏡檢查就發現息肉等異常狀況,接下來做大腸鏡檢查的頻率就要與醫師討論。

 
	
















 
